结缔组织概述
结缔组织的一般特征
结缔组织(connective tissue)由细胞和细胞外基质构成。
1.细胞数量少,但种类多。
2.细胞间质丰富,细胞分散在大量的细胞间质中。
3.细胞无极性, 部分游离面和基底面。
4.分布广泛,形态多样,功能多样。
5.均起源于间充质 胚胎时期散在的中胚层组织
结缔组织的分类

固有结缔组织
疏松结缔组织
疏松结缔组织(loose connective tissue)又称蜂窝组织,广泛分布于器官之间和组织之间、细胞之间。其特点是细胞种类较多;纤维类型全;基质丰富(细胞与纤维散步其中);富含血管及神经(末梢)。

细胞
成纤维细胞 fibroblast
是疏松结缔组织中数目最多、最主要的细胞,常附着在胶原纤维上。
光镜下:细胞较大,多突起;细胞核大,卵圆形,着色浅,核仁明显;细胞质较丰富,呈弱嗜碱性。
电镜下:它具有蛋白质分泌细胞的超微结构特征,即含丰富的粗面内质网和发达的高尔基复合体。
功能:合成分泌胶原蛋白、弹性蛋白,构成三种纤维(胶原纤维、网状纤维和弹性纤维);合成分泌蛋白聚糖等,构成基质;合成生物活性物质参与多种过程。

纤维细胞 (fibrocyte)
成纤维细胞功能处于静止状态时,称纤维细胞。
光镜下:细胞较小,呈长梭形;细胞核小而细长,着色深;细胞质少,呈嗜酸性。
电镜下:细胞质内粗面内质网少,高尔基复合体不发达。
在创伤等情况下,纤维细胞可逆向分化为成纤维细胞,并分裂、增殖,向受损部位迁移,产生细胞外基质,形成瘢痕组织,参与创伤修复。
巨噬细胞 macrophage
是体内广泛存在的一种免疫细胞,来源于血液中的单核细胞。
光镜下:不规则,可有伪足;胞质嗜酸性,可含吞噬物;核小、染深。
电镜下:有褶皱或微绒毛;含大量溶酶体(细胞内的消化器)、吞饮泡和残余体,以及数量不等的粗面内质网、高尔基复合体和线粒体。
趋化性chemotaxis —— 细胞沿趋化因子(细菌产物、炎症变性蛋白等)的浓度梯度,向浓度高的部位定向移动的特性。趋化性是巨噬细胞发挥功能的前提。
疏松结缔组织内处于功能静止状态的巨噬细胞称为组织细胞(histocyte),当受细菌产物、炎症变性蛋白等物质刺激后,细胞伸出伪足,沿这些化学物质的浓度梯度朝浓度高的部位定向移动,聚集到产生和释放这些化学物质的部位,因而被称为游走的活化细胞。细胞的这种特性称趋化性(chemotaxis),而这类化学物质称趋化因子(chemokine)。
巨噬细胞的功能
趋化性是巨噬细胞发挥功能的前提。巨噬细胞行使多种功能,参与免疫应答。
1.吞噬作用可分为特异性吞噬作用和非特异性吞噬作用。
特异性吞噬作用的前提是有抗体等识别因子, 识别和黏附被吞噬物(如细菌、病毒和异体细胞等),然后,巨噬细胞通过其表面的受体与识别因子特异性结合,从而间接黏附被吞噬物,启动吞噬过程。
非特异性吞噬作用无需识别因子的中介,巨噬细胞直接黏附碳粒、粉尘、衰老死亡的自体细胞和某些细菌等,进而吞噬。


抗原(antigen)包括蛋白质、多肽、多糖等生物分子。由这些分子构成的细胞、细胞外基质、细菌、病毒等都含有大量抗原。每一个体的免疫系统能够识别自身抗原和外来抗原,主要对外来抗原(如细菌、病毒等)以及表面抗原发生变异的自身细胞(如肿瘤细胞和病毒感染细胞)发动攻击。
巨噬细胞吞噬了抗原物质,在溶酶体内进行分解时,能够保留最具特征性的分子基团,与巨噬细胞自身的主要组织相容性复合体(MHC)结合,形成抗原肽 -MHC 分子复合物,呈递到细胞表面,提呈给 T 细胞。当 T 淋巴细胞接触到抗原肽后,便被激活,启动免疫应答机制。
巨噬细胞为机体主要的抗原呈递细胞(antigen presenting cell,APC)。
3.分泌功能巨噬细胞有活跃的分泌功能,能合成和分泌上百种生物活性物质,包括溶菌酶、补体、多种细胞因子(如白细胞介素 -1)等。溶菌酶分解细菌的细胞壁,以杀灭细菌。补体参与炎症反应、对病原微生物的溶解等过程。白细胞介素 -1 刺激骨髓中白细胞增殖并释放入血。
浆细胞 plasma cell
浆细胞由淋巴细胞分化而成。
又称效应 B 细胞,主要分布于脾、淋巴结以及消化管、呼吸道等黏膜的结缔组织或淋巴组织内及慢性炎症部位,而在一般结缔组织内很少。
分布:脾、淋巴结以及消化管、呼吸道等黏膜的结缔组织或淋巴组织及慢性炎症部位。
光镜:细胞核呈圆形或卵圆形,多偏于一侧;细胞质丰富,呈嗜碱性(粗面内质网发达)。
电镜:大量粗面内质网平行排列;细胞核旁浅染区内有发达的高尔基复合体。
功能:浆细胞合成并分泌免疫球蛋白(immunoglobulin,Ig),即抗体(antibody)。抗体的一端与抗原高度特异性结合,即一种抗体只能和一种特定的,形成抗原 - 抗体复合物。
肥大细胞 mast cell
源自骨髓的造血祖细胞,经血液循环迁移到全身的结缔组织内,分化成熟后可生存数月。
分布:沿小血管和淋巴管分布,于皮肤、消化管、呼吸道较多。
光镜:细胞较大、圆或卵圆形;细胞核小而圆,居中;细胞质内充满粗大的嗜碱性分泌颗粒。
电镜:胞质充满大小不等、密度不一的圆形颗粒。
功能:分泌多种活性物质(与肥大细胞参与过敏反应相关),启动针对病原体的炎症反应。
胞质内:白三烯;
颗粒内:组胺、中性粒细胞趋化因子、嗜酸性粒细胞趋化因子、肝素等
脱颗粒启动针对病原体的炎症反应
组胺和白三烯可使局部毛细血管和微静脉扩张,通透性增强,组织液渗出增多,导致局部红肿;中性粒细胞趋化因子和嗜酸性粒细胞趋化因子可分别促使这两种血细胞迁入结缔组织内,中性粒细胞可吞噬细菌,嗜酸性粒细胞可吞噬抗原 - 抗体复合物,并有杀菌作用。此外,肥大细胞分泌的肝素具有抗凝血作用。
过敏反应
由于尚未阐明的原因,少数人的免疫系统对某些对机体无害的花粉、药物(如青霉素)等物质发生免疫应答,当机体第二次接触这些物质(抗原)时,肥大细胞会受到刺激,以胞吐的方式大量释放颗粒内容物,称为脱颗粒。
组胺、白三烯可使皮肤的微静脉和毛细血管扩张,形成数量不等的红肿块,称荨麻疹;可使肺内细支气管平滑肌痉挛,黏液分泌增多,导致哮喘;可使全身小动脉扩张,导致血压急剧下降,引起休克。
这些病症统称过敏反应,凡可致肥大细胞脱颗粒的物质称为过敏原,即引发过敏反应的抗原。
肥大细胞释放的嗜酸性粒细胞趋化因子可趋化嗜酸性粒细胞向过敏反应部位迁移,发挥抗过敏反应作用。
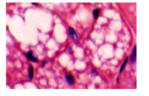
脂肪细胞 adipocyte
光镜:胞体大,常呈球形或多边形;细胞质内含一个大脂滴(在 HE 染色的标本中,脂滴被溶解,细胞呈空泡状),将其余细胞质和细胞核挤到细胞周缘,细胞核被挤压成弯月形,位于细胞一侧。
功能:脂肪细胞能合成、储存脂肪,参与脂类代谢。

未分化间充质细胞 undifferentiated mesenchymal cell
分布:小血管周围
形态:类似纤维细胞
功能:是成体结缔组织内的干细胞,保留着间充质细胞的多向分化潜能,在炎症及创伤修复时大量增殖,可分化为成纤维细胞、血管内皮细胞、平滑肌细胞等,参与结缔组织和小血管的修复。

白细胞 leukocytes
血液内的各种白细胞常以变形运动的方式穿出毛细血管和微静脉,游走到疏松结缔组织内,行使免疫防御功能。
类型:粒细胞(嗜酸性粒细胞、嗜碱性粒细胞、中性粒细胞);单核细胞;淋巴细胞。
细胞外基质(纤维 + 基质)
胶原纤维 collagenous fiber
由成纤维细胞组成,数量最多、分布最广,由成纤维细胞产生,新鲜时白色,又称白纤维。
光镜下,HE 染色切片中胶原纤维呈嗜酸性,为粉红色带状结构。
胶原纤维的生化成分为 Ⅰ 型胶原蛋白。胶原蛋白由成纤维细胞合成分泌,于细胞外聚合为胶原原纤维,再经少量黏合质(蛋白多糖和糖蛋白,故 PAS 反应阳性)黏结成胶原纤维。
电镜下,呈明暗交替的周期性横纹,横纹周期约 64nm。胶原纤维的韧性大,抗拉力强。
弹性纤维 elastic fiber
因新鲜标本呈黄色,故又称黄纤维。
在 HE 染色下为淡染的粉色线样结构。弹性好。


网状纤维 reticular fiber
HE 染色不易着色。镀银染色呈黑棕色线样结构,又称嗜银纤维。电镜下可见周期性横纹(与胶原纤维相似)。交织成网,构成器官的支架。(如淋巴结)

致密结缔组织
以纤维为主要成分,纤维粗大排列致密,细胞少,以支撑和连接为主要功能。
分为规则致密结缔组织(如肌膜、腱膜)和不规则致密结缔组织(真皮、硬脑膜、巩膜和一些器官被膜)。

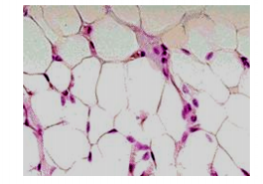
脂肪组织
以脂肪组织为主要成分的结缔组织。主要分为白(黄)色脂肪组织和棕色脂肪组织。
白(黄)色脂肪组织
形态:为单泡脂肪组织,有一个大脂滴,印戒状,少量细胞器。
分布:皮下、网膜、系膜、肾与肾上腺周围、子宫周围、骨髓腔。
作用:能量储存库,提供化学能。


棕色脂肪组织
形态:为多泡脂肪组织有多个小脂滴,核居中,线粒体丰富。
分布:新生儿分布广泛;成人在肾周围呈岛状分布,外包白色脂肪组织。
作用:维持体温,提供热能。


网状组织
由网状细胞和网状纤维构成的结缔组织,主要分布于骨髓和淋巴结等(构成其框架)。

特殊结缔组织
软骨
软骨组织
软骨(cartilage)由软骨组织及包裹它的软骨膜构成。软骨组织(cartilage tissue)由软骨细胞和软骨基质构成。

软骨细胞 chondrocyte
包埋在软骨基质中,所在腔隙称软骨陷窝。软骨细胞的大小、形状和分布在软骨内有一定的规律,反映了软骨细胞从幼稚到成熟的发育过程。
周边的软骨细胞:细胞小、扁平、分散、幼稚;分泌软骨基质能力弱。
中间的软骨细胞:细胞大、椭圆形或圆形、成熟;胞质丰富成嗜碱性,有丰富的粗面内质网和高尔基体,分泌产生软骨基质能力强;细胞增生分裂成相对集中的细胞群体(一般为 2~8 个),由于皆由同一个幼稚软骨细胞增殖形成,故称同源细胞群(isogenous group)。
软骨基质 cartilage matrix
即软骨组织的细胞外基质,由无定形基质和包埋其中的纤维构成。
无定形基质的主要成分为蛋白聚糖和水,此蛋白聚糖与疏松结缔组织中的蛋白聚糖类似,也构成分子筛结构,使其具有较好的渗透性。尽管软骨组织内无血管和淋巴管,处于深部的软骨细胞依然可借助渗透的方式与周围组织进行物质交换。
糖胺聚糖在基质中的分布不均匀,紧靠软骨陷窝部位的硫酸软骨素较多,故此处嗜碱性较强,于 HE 染色切片中,形似囊状包围软骨细胞,故称软骨囊(cartilage capsule)。
软骨膜
除关节软骨外,软骨表面被覆薄层致密结缔组织,即软骨膜(perichondrium)。软骨膜内有血管、淋巴管和神经,可为软骨组织提供营养和保护等作用。
软骨膜内层存在由间充质干细胞分化而来的骨祖细胞,可进一步分化为成软骨细胞(chondroblast)。成软骨细胞狭长,仅含核处略厚,开始具备初步的分泌能力,一旦被分泌的软骨基质包围,即成为软骨细胞。
软骨的类型
透明软骨 hyaline cartilage
因新鲜时呈半透明而得名,细胞分散或成团,纤维成分位为胶原原纤维,基质中软骨囊明显,有软骨膜(但关节软骨和骺板无软骨膜)。
分布:肋软骨、关节软骨、呼吸道软骨等。
透明软骨硬而脆,有抗压、结构支持和成骨功能。

弹性软骨
分布于耳郭、咽喉及会厌等处,新鲜时呈黄色,细胞分散的较多。组织结构与透明软骨相似,有软骨膜,但纤维成分为大量交织排列的弹性纤维,故有很好的弹性。
由于弹性纤维丰富,使基质呈现一定程度的嗜酸性,仅软骨囊嗜碱性明显,因而在光镜下呈现红蓝相间的着色特点。
有柔韧性支撑功能。


纤维软骨
分布于椎间盘、关节盘、半月板和耻骨联合等处,呈不透明的乳白色。大量粗大的胶原纤维平行或交叉排列,故有很强的韧性。
软骨细胞较小而少,散在、成对或单行排列于纤维束之间(多成行排列),无定形基质少,呈弱嗜碱性。
具有抗压、应力和吸收震荡的功能。


骨组织 osseous tissue
骨组织(osseous tissue)是骨的结构主体,主要由骨细胞和骨基质组成,由于骨组织有大量骨盐沉积,所以十分坚硬。
骨基质 bone matrix
骨基质(骨质)构成
简称骨质,即骨组织中钙化的细胞外基质,包括有机成分和无机成分。
有机质:有机成分为大量胶原纤维和少量无定形基质。
胶原纤维粗大、排列规律,总量约占有机成分的 90%,主要由 Ⅰ 型胶原蛋白构成。无定形基质的主要成分是蛋白聚糖及其复合物,具有黏合纤维的作用。骨质中还有骨钙蛋白、骨桥蛋白、骨粘连蛋白和钙结合蛋白等,它们在骨的钙化、钙离子的传递与平衡、细胞与骨质的黏附等方面各有作用。
无机成分:又称骨盐(bone salt),以钙、磷离子为主,以羟基磷灰石结晶形式沉积于纤维,使骨基质高度硬化。
骨质结构形式
骨质的结构经历了由编织骨转变为板层骨的过程。
编织骨:胶原纤维无规则交织排列,是胚胎时期和 5 岁以内儿童的骨质结构形式(也见于骨折修复期),以后逐渐重建成板层骨。成年后仅在牙槽骨和耳蜗等极少数部位存在编织骨。
板层骨:编织骨改建而成,纤维成层平行排列,称骨板;相邻骨板的纤维方向相互垂直,有效增加骨的强度。(相邻骨板平行排列,一个骨板内的纤维平行排列,相邻骨板内的纤维平行排列,使其可以承受来自不同方向的力,增加骨的强度)


骨质密度类型
密质骨 compact bone:在长骨骨干、扁骨和短骨表层中,骨板层数多、排列规则,所有骨板紧密结合,同层骨板的纤维平行,相邻者垂直。
松质骨 spongy bone:在长骨骨骺和骨干内表面、扁骨的板障和短骨中心等处,数层不甚规则的骨板形成大量针状或片状骨小梁,搭建成有较大孔隙的立体网格样结构,肉眼可见骨质呈“疏松状”,故称松质骨。

骨组织的细胞
骨祖细胞 osteoprogenitor cell
来源于间充质细胞、位于骨膜内层和软骨膜,可分化为成骨细胞和成软骨细胞。当骨生长、重建或骨折修复时,骨祖细胞功能活跃,不断增殖分化为成骨细胞。
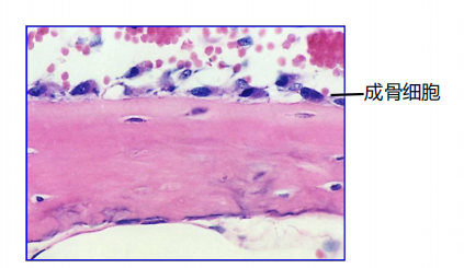
成骨细胞 osteoblast
骨祖细胞分化而成,单层排列,分布在骨组织表面,呈矮柱状或不规则形。
分泌活动旺盛时细胞质嗜碱性增强,电镜下可见大量粗面内质网和高尔基复合体,分泌产物为骨基质的有机成分(胶原纤维 + 无定形基质),即类骨质。
成骨细胞还释放基质小泡,内含细小钙盐结晶,小泡膜上有钙结合蛋白和碱性磷酸酶。钙盐结晶释放进入类骨质后,即以其为基础形成羟基磷灰石结晶,钙结合蛋白和碱性磷酸酶对钙化也发挥一定作用。
成骨细胞还分泌多种细胞因子,调节骨组织的形成和吸收、促进骨组织钙化。随着分泌的类骨质增多,成骨细胞自身被包埋其中,细胞发出许多细长突起,胞体和细胞核逐渐缩小,渐成扁椭圆形,逐渐转变为骨细胞。


骨细胞 osteocyte
位于骨组织内部有多个细长突起的细胞,比较均匀地分散于骨板之间或骨板内,由成骨细胞分泌类骨质后转变而成。
骨细胞的结构和功能与其成熟度有关,刚转变的骨细胞仍能有分泌功能,随着细胞成熟,分泌能力逐渐减弱直至停止。在此过程中,胞体进一步变小,呈扁椭圆形细胞器减少,突起延长。
相邻骨细胞的突起以缝隙连接相连,借此可传递信息。
骨陷窝——骨小管——骨陷窝通道
此处的骨小管也彼此相通,骨陷窝和骨小管内含少量组织液(可缓慢持续性流动,可维持骨细胞正常代谢)。骨组织内的相邻骨陷窝通过骨小管互相连通,构成了骨组织内部的物质输送通道。
破骨细胞 osteoclast
由多个单核细胞融合而成,破骨细胞散在分布于骨组织表面,形态不规则,巨大,多核,细胞质丰富、嗜酸性强,含丰富的溶酶体和线粒体,具有强大的溶骨能力。
溶骨活跃时,细胞呈现明显极性。电镜下可见紧贴骨组织的一侧出现许多长短与粗细不一的突起,构成光镜下的皱褶缘。环绕于皱褶缘的细胞质略微隆起,亮区的细胞膜紧贴骨组织,使皱褶缘和对应的骨组织表面凹陷之间封闭成一个密闭的腔隙,称吸收陷窝。此处是一个特殊的微环境,破骨细胞在此释放多种水解酶和有机酸,溶解骨盐、分解有机成分。皱褶缘深面的细胞质中有许多吞饮泡和吞噬泡,可将溶解内吞的成分进一步降解。

长骨的结构
由密质骨、松质骨、关节软骨、骨膜、骨髓、血管和神经等构成。
密质骨
环骨板 circumferential lamellae
是环绕骨干内、外表面的骨板,分别称为内环骨板和外环骨板。外环骨板、厚,由数层或十多层骨板组成,较整齐地环绕骨干排列。内环骨板薄,仅由数层骨板组成,且不如外环骨板平整。
间骨板 interstitial lamella
位于骨单位之间或骨单位与环骨板之间,为大小和形状皆不规则的骨板聚集体,是骨生长和重建过程中较早期的骨单位和环骨板的残留部分。
长骨骨干内有横向穿行的管道,称穿通管。穿通管在骨外表面的开口为滋养孔,走行几乎与骨的长轴方向垂直,横向穿越密质骨中的环骨板,并连接骨单位的中央管。管内含结缔组织、血管、神经,以及骨祖细胞、成骨细胞和破骨细胞等,这些成分也延续到骨单位的中央管内。
骨单位 osteon
又称哈弗斯系统(Haversian system),位于内、外环骨板之间,是长骨中起支持作用的主要结构。数量多,长筒状,可有分支,排列方向与骨干的长轴基本一致。
骨单位由多层同心圆排列的骨单位骨板(又称哈弗斯骨板)围绕中央管(central canal)构成。骨板中的胶原纤维绕中央管呈螺旋状走行,相邻骨板的纤维方向互成直角。骨单位骨板为 4~20 层不等,故骨单位粗细不一。中央管为细长的管道,少量疏松结缔组织穿行其中,内有小血管和神经纤维。

骨的加长与增粗
长骨的发生
软骨内成骨
在预先形成的软骨雏形基础上,将软骨逐步替换为骨。
1.软骨雏形形成
在将要成骨的部位间充质细胞聚集,分化为骨祖细胞,继而分化为成软骨细胞,成软骨细胞进一步转变为软骨细胞,后者不断增殖分裂并分泌软骨基质,形成透明软骨,因其外形与将要形成的长骨相似,故称软骨雏形。软骨周围的间充质则分化为软骨膜。
2.骨领形成
在软骨雏形中段,软骨膜内的骨祖细胞增殖分化为成骨细胞,后者贴附在软骨组织表面形成薄层原始骨组织。这层骨组织呈领圈状包绕软骨雏形中段,故名骨领。骨领形成后,其表面的软骨膜改称骨膜。
3.初级骨化中心与骨髓腔形成:
软骨雏形中央的软骨细胞停止分裂,体积增大,软骨细胞逐渐凋亡,周围的软骨基质钙化。骨膜中的血管穿越骨领,进入钙化的软骨区,破骨细胞、成骨细胞和间充质细胞也一并进入。破骨细胞以打隧道的方式溶解吸收退化的软骨组织,形成许多与软骨雏形长轴方向较为一致的隧道,成骨细胞则贴附于残存的软骨基质表面成骨,形成以钙化的软骨基质为中轴、表面包绕新生骨组织的条索状结构,称过渡型骨小梁。出现过渡型骨小梁的部位称初级骨化中心,过渡型骨小梁之间的腔隙称初级骨髓腔,间充质细胞在此分化为网状细胞,形成网状组织。造血干细胞进入并增殖分化,形成骨髓。
初级骨化中心形成过程中,软骨雏形两端的软骨不断增生,同时不断被破坏并骨化,过渡型骨小梁也陆续被破骨细胞吸收,使许多初级骨髓腔融合成一个不断增大并加长的骨髓腔。
4.次级骨化中心
次级骨化中心(secondary ossification center)出现在骨干两端的软骨组织中央,此处将形成骨骺。出现时间因骨而异,大多在出生后数月或数年。软骨替换为骨的过程与初级骨化中心的形成相似,但骨化是从中央呈放射状向四周进行的,最终形成以松质骨为主体的骨骺,以后骨骺的外侧面松质骨被改造成密质骨。骨骺末端表面的薄层透明软骨不被骨化,终身保留,参与构成关节,称关节软骨。骨骺与骨干之间也保留一定厚度的软骨层,称骺板或生长板,是长骨继续延长的结构基础。

长骨的加长
1.软骨储备区:软骨细胞细小、扁平。
2.软骨增生区:软骨细胞明显生长,形成同源细胞群,纵向排列成软骨细胞柱。
3.软骨成熟区:细胞明显增大变圆,软骨细胞柱之间的软骨基质明显变窄。
4.软骨细胞柱:细胞开始退化、凋亡、胞质空泡化、出现核固缩与核溶解;软骨基质钙化、嗜碱性增强;钙化区有破骨细胞活动。
5.成骨区:成骨细胞有残余的钙化软骨基质表面生成骨组织,组成过渡性骨小梁,该结构最终都将被破骨细胞破坏而消失。
五个区域呈连续性、动态性变化;生长过程中总体保持速率上的平衡。

17~20 岁的青少年,骺板的软骨细胞停止分裂,骺软骨逐渐完全被骨组织取代,长骨的骨干和骨骺的骨组织连接融合形成薄层密质骨,在纵切面上为线性痕迹,称骺线(epiphyseal line),骺线形成意味着骨不能继续纵向生长。

长骨的增粗
骨外膜深部的骨祖细胞分化为成骨细胞,在骨干表面添加骨组织,使骨干变粗。而在骨干的内表面,破骨细胞吸收骨小梁,使骨髓腔横向扩大。骨干外表面的骨形成略快于骨干内部的骨吸收,使得骨干的密质骨逐渐增厚,骨髓腔也逐渐扩大。大约 30 岁,长骨将不再增粗。
长骨内部改建
密质骨和松质骨都会随着骨的生长发育而不断重建。骨领最初为松质骨,随着骨小梁逐渐增粗,小梁间的网孔缩小而变致密,密质骨开始形成。骨吸收和骨形成的协调活动,旧的骨单位陆续被新的骨单位替代。骨单位可有分支和相互吻合,形成复杂的整体构型,以顺应长骨的应力需要。

影响骨生长发育的因素
1.营养与维生素
营养是骨骼发育的必要条件,多种维生素对骨的生长发育至关重要。维生素 A协调成骨细胞和破骨细胞的活动,影响骨的生长速度和骨的塑形;维生素 C影响骨祖细胞的分裂增殖,影响成骨细胞合成胶原纤维与基质;维生素 D促进小肠对钙、磷的吸收,提高血钙和血磷水平,有利于类骨质的矿化。
2.激素
生长激素与甲状腺激素促进骺板软骨细胞的生长,促进软骨替换为骨;甲状旁腺激素激活骨细胞和破骨细胞的溶骨作用,释放骨钙入血,使血钙升高;降钙素抑制骨盐溶解,刺激骨祖细胞分化为成骨细胞,增强成骨活动,使血钙入骨;性激素促进成骨细胞的活动,有利于骨的生长和成熟;糖皮质激素抑制小肠对钙的吸收和肾小管对钙的重吸收。
3.细胞因子
多种细胞因子以各种方式影响骨的发生、生长与改建。
4.应力作用
影响骨形成和吸收的动态平衡,高应力下以骨形成为主、低应力下以骨吸收为主。
血液

红细胞 Erythrocyte(red blood cells,RBC)
在扫描电镜下呈双凹圆盘状,成熟红细胞无核,也无任何细胞器,细胞质内充满血红蛋白(hemoglobin,Hb),使红细胞呈红色。正常成人血液中血红蛋白的含量男性为 130~175g/L,女性为 115~150g/L。
血红蛋白具有结合与运输 O2 和 CO2 的功能,所以红细胞能供给全身细胞所需的 O2,并带走细胞所产生的大部分 CO2。
红细胞的细胞膜中有一类镶嵌蛋白质,即血型抗原 A 和 / 或血型抗原 B,构成人类的 ABO 血型抗原系统,在临床输血中具有重要意义。
人类血液中还有抗异型血的天然抗体(产生原因不明),例如 A 型血的人具有抗血型抗原 B 的抗体,若错配血型,首次输血即可导致抗原抗体结合,引起红细胞膜破裂,血红蛋白逸出,称溶血,溶血后残留的红细胞膜囊称红细胞血影。蛇毒、溶血性细菌、脂溶剂等也能引起溶血。
红细胞的平均寿命约 120 天。红细胞无任何细胞器,所以不能合成新的蛋白和代谢所需的酶类。随着红细胞逐渐衰老,血红蛋白和膜骨架蛋白变性,导致红细胞的变形性降低。在经过脾和肝时,这些老化的红细胞被巨噬细胞吞噬清除。
网织红细胞
与此同时,每天都有新生的未完全成熟的红细胞从骨髓进入血液,这些细胞内尚残留部分核糖体,用煌焦油蓝染色呈细网状,故称网织红细胞。未完全成熟的红细胞在血液中大约一天后完全成熟,核糖体消失。
成年人网织红细胞占红细胞总数的 0.5%~1.5%;新生儿网织红细胞占红细胞总数的 3.0-6.0%。
网织红细胞可用于判断造血功能有问题的患者治疗是否有效。
红细胞的更新周期约为 120 天,而网织红细胞成熟时间约为一天。骨髓造血功能发生障碍的患者,网织红细胞计数降低。如果贫血患者的网织红细胞计数增加,说明治疗有效。
白细胞
无色有核的球形细胞,它们从骨髓入血后一般于 24 小时内以变形运动的方式穿过微血管壁或毛细血管壁,进入结缔组织或淋巴组织,发挥防御和免疫功能。
白细胞的正常值约为(4-10)× 109/L ;白细胞的数量远低于红细胞,散在红细胞周围。

中性粒细胞 neutrophil

是数量最多的白细胞。细胞直径 10~12μm,核呈深染的弯曲杆状或分叶状,细胞质呈极浅的粉红色,含有许多细小颗粒,其中浅紫色的为嗜天青颗粒,浅红色的为特殊颗粒。
嗜天青颗粒 约占颗粒总数的 20%,电镜下颗粒较大,直径 0.6~0.7μm,呈圆形或椭圆形,电子密度较高。它是一种溶酶体,含有酸性磷酸酶、髓过氧化物酶和多种酸性水解酶类等,能消化吞噬的细菌和异物。
特殊颗粒 约占颗粒总数的 80%,电镜下颗粒较小,直径 0.3~0.4μm,呈哑铃形或椭圆形。特殊颗粒是一种分泌颗粒,内含溶菌酶、吞噬素等,吞噬素也称防御素,具有杀菌作用。
中性粒细胞具有活跃的变形运动和吞噬能力,起着重要的防御作用,与细菌感染有关。中性粒细胞的吞噬对象以细菌为主,在吞噬并处理了大量细菌后,自身也死亡,成为脓细胞。中性粒细胞从骨髓进入血液,停留约 6~8 小时,然后离开,在结缔组织中存活 2~3 天。
核的叶数与细胞在血流中停留的时间呈正相关。当机体存在严重的细菌感染时,大量新生细胞从骨髓进入血液,杆状核与 2 叶核的细胞增多,称核左移;若 4~5 叶核的细胞增多,称核右移,表明骨髓造血功能发生障碍。
嗜酸性粒细胞 Eosinophil

光镜下,直径为 10~15μm,核多为 2 叶,细胞质内充满粗大的鲜红色嗜酸性颗粒,成橘红色。
电镜下,颗粒为椭圆形,有膜包裹,内含基质和方形或长方形结晶体。
嗜酸性粒细胞具有抗过敏和抗寄生虫的功能。
该细胞能吞噬抗原抗体复合物,释放的多种溶酶体酶有杀菌作用,阳离子蛋白对寄生虫有很强的杀灭作用。
在发生过敏反应的部位,其释放的组胺酶能分解组胺,芳基硫酸酯酶能灭活白三烯,从而抑制过敏反应。
因此,过敏性疾病或寄生虫病患者的血液中嗜酸性粒细胞增多。嗜酸性粒细胞在血液中停留 6~8 小时后进入结缔组织,主要是肠道结缔组织,可存活 8~12 天。
嗜碱性粒细胞 Basophil

数量最少。细胞直径 10~12μm,核分叶,或呈 S 形和不规则形,着色较浅。细胞质内含有嗜碱性颗粒,大小不等,分布不均,染成蓝紫色后可掩盖核。
嗜碱性粒细胞参与过敏反应。嗜碱性颗粒属于分泌颗粒,内含有肝素、组胺、中性粒细胞趋化因子、嗜酸性粒细胞趋化因子等;细胞也可合成并分泌白三烯(颗粒成分与肥大细胞类似)
嗜碱性粒细胞和肥大细胞均来源于骨髓中的同种造血祖细胞,分泌物质基本相同,作用也基本相同,既启动针对病原体的炎症反应,也参与过敏反应。
单核细胞 Monocyte

是体积最大的白细胞,直径为 14~20μm。核呈肾形、马蹄铁形或扭曲折叠的不规则形,染色质颗粒细而松散,故着色较浅。细胞质丰富,因弱嗜碱性而呈灰蓝色,内含许多细小的淡紫色嗜天青颗粒,即溶酶体。
单核细胞在血液中停留 12~48 小时,然后进入结缔组织或其他组织,分化为巨噬细胞等具有吞噬功能的细胞。
淋巴细胞 lymphocyte

血液中的淋巴细胞大部分为直径 6~8μm 的小淋巴细胞(且以 T 淋巴细胞为主 75%),小部分为直径 9-12μm 的中淋巴细胞。在淋巴组织中还有直径 13~20μm 的大淋巴细胞,但不存在于血液中。
小淋巴细胞的核为圆形,一侧常有浅凹,染色质浓密呈块状,着色深。小淋巴细胞的细胞质很少,在核周形成很薄的一圈,中淋巴细胞的细胞质较多;细胞质中可含嗜天青颗粒。
胸腺依赖性淋巴细胞 thymus dependent lymphocyte
简称 T 淋巴细胞,产生于胸腺,在血液淋巴细胞中约占总数的 75%;其体积小,细胞质内含少量溶酶体。在细胞免疫发挥功能。
骨髓依赖性淋巴细胞 bone marrow dependent lymphocyte
简称 B 淋巴细胞,产生于骨髓,约占 10%~15%;其体积略大,一般不含溶酶体,有少量粗面内质网。B 淋巴细胞受抗原刺激后增殖分化为浆细胞,可产生抗体,在体液免疫发挥功能。
血小板 Blood platelet
血小板是骨髓巨核细胞脱落下来的细胞质小块,并非严格意义上的细胞。
血小板呈双凸圆盘状,直径 2~4μm,当受到机械或化学刺激时(如黏附于载玻片),则伸出突起,此时呈不规则形。在血涂片上,血小板常聚集成群。
光镜下,血小板中央部有蓝紫色的血小板颗粒,称颗粒区;周边部呈均质浅蓝色,称透明区。
血小板参与凝血和止血,保护血管内皮,参与内皮修护
当血管内皮破裂时,血小板迅速黏附、聚集于破损处,凝固形成血栓,堵塞裂口甚至小血管管腔。在这一过程中,血小板释放颗粒内容物,其中 5- 羟色胺能促进血管收缩,血小板因子 Ⅳ 能对抗肝素的抗凝血作用,血小板应答蛋白促进血小板聚集,PDGF 刺激内皮细胞增殖和血管修复。
血小板寿命为 7~14 天。

欢迎来到这里!
我们正在构建一个小众社区,大家在这里相互信任,以平等 • 自由 • 奔放的价值观进行分享交流。最终,希望大家能够找到与自己志同道合的伙伴,共同成长。
注册 关于